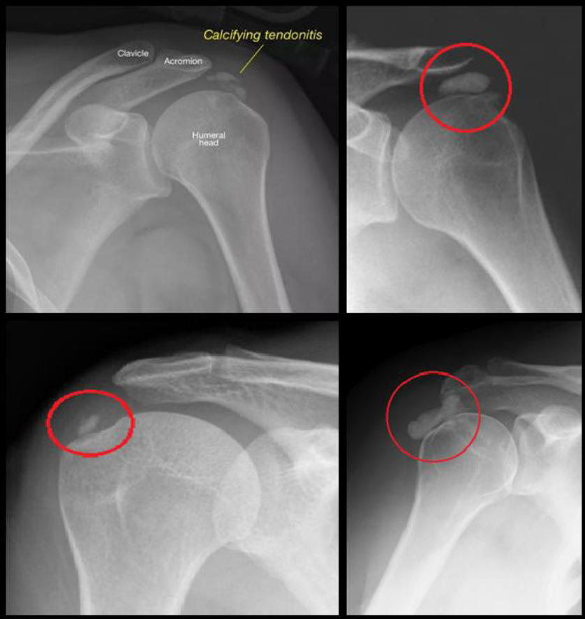
A calcium deposit accumulates in one of the tendons of the shoulder. The cause is unknown and not related to injury, diet or osteoporosis. The most common group of patients are female, 40-50 years of age, but other age groups and males can also be affected. Calcifications can have a paste-like consistency or a hard deposit in the shoulder.
The pain can be constant and nagging and is felt in the shoulder and on the outside of the upper arm, at times down the arm to the hand – aggravated by elevation of the arm. Some patients experience attacks of excruciating pain, which then abate to a lower level of pain after a few days.
Calcifications can become bigger and although this is a painful condition, it does not damage the shoulder in any way and conservative management (non-operative) is in order if the patient can live with the pain.
Can alleviate the pain, but does not absorb the calcium.
The operation becomes indicated when the patient suffers over a long period and the quality of life is affected, in other words the patient cannot live with the condition.
Arthroscopy (“key-hole surgery”) is done. There are two types of calcifications – Hard and soft Calcifications. The hard calcification is like a crystal so it is hard and the soft calcification is paste-like. Depending on the classification, sometimes the muscle needs to be cut in order to remove the calcifications. When the Rotator Cuff Muscle is destroyed due to the calcification it must then be repaired as well.
General anaesthesia with or without a local anaesthetic block, this can be discussed with the Anaesthetist.
The calcifications can be removed totally, usually resulting in a cure, however, in a number of patients total pain relief can take 3 – 6 months. The reason is that the calcifications leave a defect in the tendon after removal. If the calcification is large and we need to cut the muscle to remove it, we will repair the muscle arthroscopically. This defect takes time to heal but the eventual outcome is good in all cases.
In a number of patients (30%), a frozen shoulder may develop after the procedure – this means that the shoulder becomes painful and stiff. The implication is merely that it delays full recovery. The reason for the frozen shoulder is largely unknown, but a patient with calcific tendinitis falls in the same group that is prone to frozen shoulders – middle-aged ladies.
Returning to work is within a few days depending on the discomfort. If the calcification was small, returning to sport is between 3-4 months. If a muscle had to be repaired it will take 6-8 months before returning to sport.
Full motion and activities will be permitted immediately, within pain limits. The Physiotherapist will demonstrate the exercises. A shoulder sling is optional; it is only to alleviate discomfort.
In exceptional cases where the muscle had to be repaired, the shoulder will be in a sling for 6 weeks after the physiotherapy begins.
For more information or questions, please visit our FAQ page. Alternatively, you can leave a message below, and we will get back to you.
With unwavering commitment to patient care, pioneering research, and surgical excellence have made Doctor Shoulder a prominent figure in the field.
All rights reserved © Copyright Doctor Shoulder
WhatsApp us